Engpasssyndrom (Impingementsyndrom)
Häufige Ursache für Schulterschmerzen – gezielt behandelbar
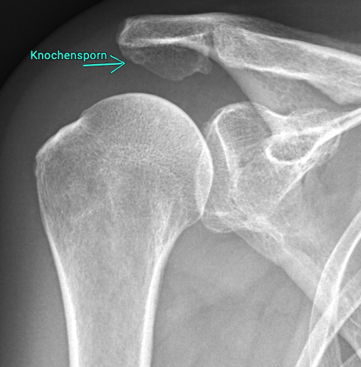
Impingementsyndrom – wenn Sehnen eingeengt werden
Das Engpasssyndrom, auch bekannt als Impingementsyndrom, zählt zu den häufigsten Ursachen für Schulterschmerzen. Dabei handelt es sich um eine mechanische Enge im Schultergelenk, bei der die Rotatorenmanschettensehnen und der Schleimbeutel zwischen Oberarmkopf und Schulterdach eingeklemmt werden. Oft ausgelöst durch eine Dysbalance oder mangelnder Zentrierung des Oberarmkopfes in der Gelenkpfanne, manchmal auch durch einen Knochensporn am Schulterdach
Diese Reibung führt zu Schmerzen, vor allem bei Überkopfbewegungen oder beim seitlichen Anheben des Arms.
Typische Beschwerden sind ein schmerzhaftes Heben des Arms, Nachtschmerzen beim Liegen auf der betroffenen Seite sowie eine zunehmende Einschränkung der Beweglichkeit. Unbehandelt kann das Impingementsyndrom zu einer chronischen Entzündung oder sogar zu einem fortschreitenden Riss der Rotatorenmanschette Sehnenriss führen.
In der frühen Phase hilft meist eine konservative Behandlung mit gezielter Physiotherapie, entzündungshemmenden Medikamenten und gegebenenfalls Injektionen. Wenn diese Maßnahmen nicht ausreichen oder bereits strukturelle Schäden vorliegen, kann ein arthroskopischer Eingriff notwendig werden. Dabei wird Gewebe der Schleimbeute minimalinvasiv entfernt (Bursektomie), der unter Anteil des knöchernen Schulterdaches abgefräst (Acromioplastik) um den Engpass aufzuheben.
Leiden Sie unter solchen Schulterschmerzen? Dann lassen Sie Ihre Beschwerden frühzeitig abklären. Je früher das Impingementsyndrom erkannt wird, desto besser sind die Heilungschancen.
Termin vereinbaren
DE 