Kalkschulter (Tendinitis calcarea)
Schulterschmerzen durch Kalkeinlagerungen – gut behandelbar
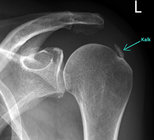
Kalkschulter – wenn Kalkeinlagerungen die Sehne reizen
Die Kalkschulter, medizinisch als Tendinitis calcarea bezeichnet, ist eine schmerzhafte Erkrankung der Schulter, bei der sich Kalziumablagerungen in den Sehnen der Rotatorenmanschette bilden. Diese Ablagerungen entstehen meist schleichend und können über Jahre unbemerkt bleiben – bis sie plötzlich starke Schmerzen und Bewegungseinschränkungen verursachen.
Typisch sind stechende Schmerzen, die vor allem nachts oder bei bestimmten Bewegungen auftreten, etwa beim Anheben des Arms. In akuten Phasen können die Beschwerden so stark sein, dass alltägliche Tätigkeiten kaum noch möglich sind. Die Diagnose der Kalkschulter lässt sich einfach mit einem Röntgenbild stellen.
Die Behandlung richtet sich nach der Ausprägung und den Beschwerden. In vielen Fällen helfen konservative Maßnahmen wie Schmerzmedikation oder Kortison Injektionen in den Schleimbeutel unter dem Schulterdach
Führt dies nicht zum gewünschten Erfolg und die Beschwerden persistieren so kann die Kalkablagerung arthroskopisch entfernt werden – ein schonender Eingriff, der oft zu einer raschen Beschwerdelinderung führt.
Wenn Sie unter anhaltenden Schulterschmerzen leiden oder eine Kalkschulter diagnostiziert wurde, beraten wir Sie gerne individuell über die besten Therapiemöglichkeiten.
Termin vereinbaren
DE 