Tightness syndrome (impingement syndrome)
Common cause of shoulder pain - treatable in a targeted manner
Impingementsyndrom – wenn Sehnen eingeengt werden
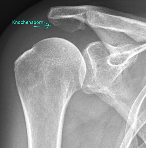
Tightness syndrome, also known as impingement syndrome, is one of the most common causes of shoulder pain. It is a mechanical tightness in the shoulder joint in which the rotator cuff tendons and the bursa are trapped between the humeral head and the acromion. Often caused by an imbalance or lack of centering of the humeral head in the glenoid cavity, sometimes also by a bone spur on the acromion
This friction leads to pain, especially during overhead movements or when lifting the arm sideways.
Typical symptoms include painful lifting of the arm, night pain when lying on the affected side and increasingly limited mobility. If left untreated, impingement syndrome can lead to chronic inflammation or even a progressive tear of the rotator cuff tendon.
In the early phase, conservative treatment with targeted physiotherapy, anti-inflammatory medication and, if necessary, injections usually helps. If these measures are not sufficient or if there is already structural damage, arthroscopic surgery may be necessary. This involves the minimally invasive removal of tissue from the bursal sac (bursectomy) and the milling away of the lower part of the bony acromion (acromioplasty) in order to eliminate the bottleneck.
Do you suffer from shoulder pain like this? Then get your symptoms checked out at an early stage. The earlier the impingement syndrome is diagnosed, the better the chances of recovery.
Book appointment
EN 