Shoulder prosthesis for osteoarthritis
When joint wear restricts movement and quality of life
Shoulder prosthesis for osteoarthritis
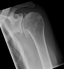
Shoulder osteoarthritis (omarthrosis) is a degenerative disease in which the joint cartilage gradually wears away. This leads to pain, restricted movement and a noticeable reduction in quality of life. Those affected often complain of pain that is typically load-dependent and an increasing restriction of movement.
Osteoarthritis of the shoulder joint (omarthrosis)
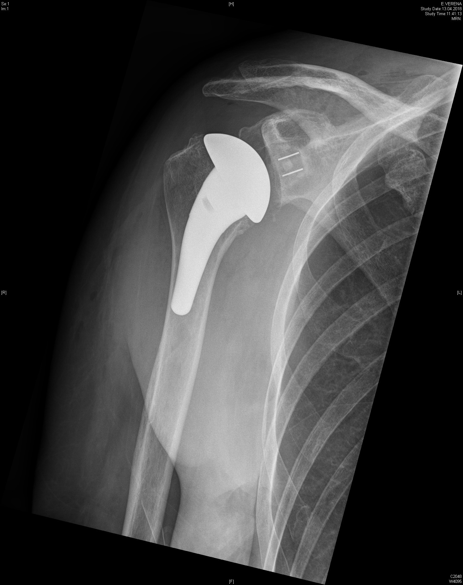
If conservative therapies such as physiotherapy, pain medication or infiltrations no longer provide sufficient relief, the use of a shoulder prosthesis may be considered. This involves replacing the diseased joint in whole or in part with an artificial one. Modern implants enable a significant reduction in pain and improve mobility in the long term.
Depending on the individual situation, different types of prosthesis are used, such as the anatomical shoulder prosthesis or the inverse (reverse) prosthesis, which is particularly suitable for additional damage to the rotator cuff. In all cases, the focus is on precise diagnostics and individually tailored treatment planning.
If you suffer from chronic shoulder pain due to osteoarthritis, we will be happy to advise you on the options for a joint replacement. We will accompany you from the decision about the procedure through to successful rehabilitation.
Anatomical shoulder prosthesis
Inverted shoulder prosthesis

EN 