Calcified shoulder (tendinitis calcarea)
Shoulder pain due to calcium deposits - easily treatable
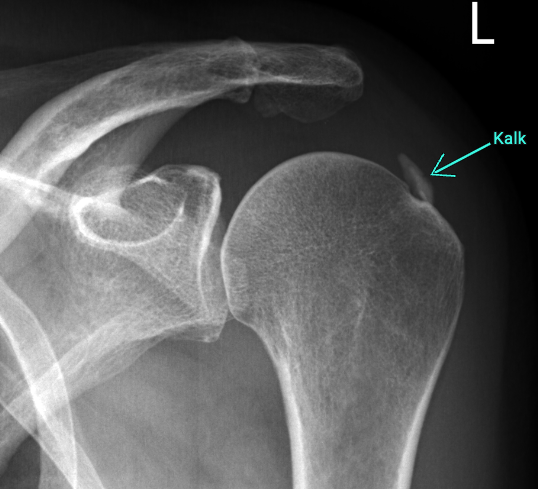
Kalkschulter – wenn Kalkeinlagerungen die Sehne reizen
Calcific shoulder, medically known as tendinitis calcarea, is a painful disease of the shoulder in which calcium deposits form in the tendons of the rotator cuff. These deposits usually develop gradually and can go unnoticed for years - until they suddenly cause severe pain and restricted movement.
Typical symptoms are stabbing pains that occur mainly at night or during certain movements, such as lifting the arm. In acute phases, the pain can be so severe that everyday activities are hardly possible. Calcified shoulder can be easily diagnosed with an X-ray.
The treatment depends on the severity and the symptoms. In many cases, conservative measures such as pain medication or cortisone injections into the bursa under the acromion help.
If this does not lead to the desired success and the symptoms persist, the calcium deposits can be removed arthroscopically - a gentle procedure that often leads to rapid relief of symptoms.
If you suffer from persistent shoulder pain or have been diagnosed with a calcific shoulder, we will be happy to advise you individually on the best treatment options.
Book appointment
EN 